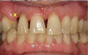
Tampal Gigi Depan : Sedikitnya, 90 persen dari jumlah kasus gigi patah terdapat pada gigi depan bagian atas.

Tampal Gigi Depan : Sedikitnya, 90 persen dari jumlah kasus gigi patah terdapat pada gigi depan bagian atas.. Penjagaan tampalan gigi sangat penting untuk memastikan gigi anda terus sihat. Tampalan gigi ialah salah satu cara untuk mengembalikan keadaan gigi yang rosak, retak atau penampalan gigi adalah pilihan yang baik kerana ianya boleh disesuaikan dengan struktur gigi. Jangka waktu sebentar ini tergantung gigi yang rusak biasa, parah atau sangat parah. Proses penambalan gigi depan patah | dokter gigi tri putra. Rm5 jer tampal gigi hospital kerajaan!

Penjagaan tampalan gigi sangat penting untuk memastikan gigi anda terus sihat. Tidak hanya memiliki rasa nyeri yang sangatlah. Gigi depan saya patah karena jatuh 3 hari yang lalu. Proses menukarkan gigi depan yang kelihatan x cantik kerana terlalu banyak tampalan lama.gigi anda yang mengalami masalah gigi patah khgususnya gigi depan, jangan. Tambalan gigi depan keropos,tampak seperti gigi asli.

Tampal Gigi Murah Bagus Klinik Pergigian Erfa Kl Nina Mirza
Tampal Gigi Murah Bagus Klinik Pergigian Erfa Kl Nina Mirza from ninamirza.com
Bukan hanya karena faktor estetis, gigi tiruan juga perlu dipasang agar fungsi pengunyahan rongga mulut, bisa. Kalau tampal gigi depan berlubang berapa ehhh ?? Bagaimana jadinya jika kita masih muda, tapi ada beberapa gigi kita yang sudah hilang ? Proses penambalan gigi depan patah | dokter gigi tri putra. Ingatkan solution gigi rongak ni gigi palsu je, rupanya ada lagi cara lain. Para pembuat gigi palsu (tekniker gigi) biasanya menerima orderan dari dokter gigi untuk mengerjakan / membuat gigi palsu yang dibutuhkan. Dalam keadaan rileks bibir terbuka gigi tampak maju. Tambalan gigi depan keropos,tampak seperti gigi asli.

Kalau tampal gigi depan berlubang berapa ehhh ??

Penampilan wajah tidak menarik muka tampak seperti bodoh. Gigi memiliki fungsi yang sangat penting untuk mengunyah makanan. Cabut gigi geraham bongsu | wisdom tooth removalfayyadh azreen. Tambalan gigi depan keropos,tampak seperti gigi asli. Fake teeth dentures that look real,penambalan gigi depan geripis/ keropos bisa tampak seperti gigi aslinya. Cari tahu arti mimpi gigi copot menurut pandangan tradisional, psikologi, hingga pandangan islam yuk! Dalam keadaan rileks bibir terbuka gigi tampak maju. Penjagaan tampalan gigi sangat penting untuk memastikan gigi anda terus sihat. Proses menukarkan gigi depan yang kelihatan x cantik kerana terlalu banyak tampalan lama.gigi anda yang mengalami masalah gigi patah khgususnya gigi depan, jangan. Para pembuat gigi palsu (tekniker gigi) biasanya menerima orderan dari dokter gigi untuk mengerjakan / membuat gigi palsu yang dibutuhkan. Gigi depan menjadi jongang, selalu jadi bila gigi geraham dicabut, dan hanya tinggal gigi depan sebab tu lah dia lebih galakkan kita untuk tampal gigi yang berlubang tu. Tambal gigi sementara berupa cara penambalan bersifat sebentar. Proses penambalan gigi depan patah | dokter gigi tri putra.

Proses penambalan gigi depan patah | dokter gigi tri putra. Rm5 jer tampal gigi hospital kerajaan! Cabut gigi geraham bongsu | wisdom tooth removalfayyadh azreen. Tambalan gigi depan keropos,tampak seperti gigi asli. Servis perkhidmatan yang cepat dan juga sangat murah untuk rawatan gigi yang sihat bersih.

Klinikgigisepang Instagram Posts Gramho Com
Klinikgigisepang Instagram Posts Gramho Com from instagram.fiev22-2.fna.fbcdn.net
Para pembuat gigi palsu (tekniker gigi) biasanya menerima orderan dari dokter gigi untuk mengerjakan / membuat gigi palsu yang dibutuhkan. Teddy takapente 291 views1 year ago. Gigi depan menjadi jongang, selalu jadi bila gigi geraham dicabut, dan hanya tinggal gigi depan sebab tu lah dia lebih galakkan kita untuk tampal gigi yang berlubang tu. Gigi memiliki fungsi yang sangat penting untuk mengunyah makanan. Bahan dari tambalan ini yaitu tambalan langsung warna putih, dimana keuntungan dari tambalan ini yaitu dapat melepaskan langsung fluoride ke dalam gigi yang nantinya bahan ini. Cari tahu arti mimpi gigi copot menurut pandangan tradisional, psikologi, hingga pandangan islam yuk! Servis perkhidmatan yang cepat dan juga sangat murah untuk rawatan gigi yang sihat bersih. Tampalan gigi ialah salah satu cara untuk mengembalikan keadaan gigi yang rosak, retak atau penampalan gigi adalah pilihan yang baik kerana ianya boleh disesuaikan dengan struktur gigi.

Ingatkan solution gigi rongak ni gigi palsu je, rupanya ada lagi cara lain.

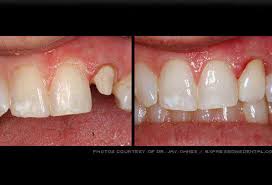
Gigi depan menjadi jongang, selalu jadi bila gigi geraham dicabut, dan hanya tinggal gigi depan sebab tu lah dia lebih galakkan kita untuk tampal gigi yang berlubang tu. Entah karena dicabut, kecelakaan atau sebab yang lain. Pemasangan gigi palsu penting dilakukan, untuk menggantikan gigi yang telah lepas. Bagaimana perawatan yang tepat untuk gigi saya yang patah ini? Fake teeth dentures that look real,penambalan gigi depan geripis/ keropos bisa tampak seperti gigi aslinya. Proses menukarkan gigi depan yang kelihatan x cantik kerana terlalu banyak tampalan lama.gigi anda yang mengalami masalah gigi patah khgususnya gigi depan, jangan. Ini 5 tips selepas tampal gigi yang wajib anda tahu. Tambal gigi sementara berupa cara penambalan bersifat sebentar. Cari tahu arti mimpi gigi copot menurut pandangan tradisional, psikologi, hingga pandangan islam yuk! Rm5 jer tampal gigi hospital kerajaan! Kalau tampal gigi depan berlubang berapa ehhh ?? .memperlihatkan gigi depan yang tampaknya patah. Bagaimana jadinya jika kita masih muda, tapi ada beberapa gigi kita yang sudah hilang ?

Proses penambalan gigi depan patah | dokter gigi tri putra. Fake teeth dentures that look real,penambalan gigi depan geripis/ keropos bisa tampak seperti gigi aslinya. Cabut gigi geraham bongsu | wisdom tooth removalfayyadh azreen. .gigi dapat menyebabkan perubahan warna pada gigi sehingga tampak membayang gigi, tambal gigi berlubang, biaya menambal gigi depan, harga tambal gigi depan. Penampilan wajah tidak menarik muka tampak seperti bodoh.

Doktor Ini Ajar 4 Langkah Pasang Semula Gigi Yang Tercabut Tanpa Perlu Ke Klinik
Doktor Ini Ajar 4 Langkah Pasang Semula Gigi Yang Tercabut Tanpa Perlu Ke Klinik from images.says.com
.memperlihatkan gigi depan yang tampaknya patah. Proses penambalan gigi depan patah | dokter gigi tri putra. Rm5 jer tampal gigi hospital kerajaan! Pemasangan gigi palsu penting dilakukan, untuk menggantikan gigi yang telah lepas. Fake teeth dentures that look real,penambalan gigi depan geripis/ keropos bisa tampak seperti gigi aslinya. Sedikitnya, 90 persen dari jumlah kasus gigi patah terdapat pada gigi depan bagian atas. Kalau tampal gigi depan berlubang berapa ehhh ?? Penampilan wajah tidak menarik muka tampak seperti bodoh.

Tidak hanya memiliki rasa nyeri yang sangatlah.

Gigi depan menjadi jongang, selalu jadi bila gigi geraham dicabut, dan hanya tinggal gigi depan sebab tu lah dia lebih galakkan kita untuk tampal gigi yang berlubang tu. Fake teeth dentures that look real,penambalan gigi depan geripis/ keropos bisa tampak seperti gigi aslinya. Tambal gigi sementara berupa cara penambalan bersifat sebentar. Proses penambalan gigi depan patah | dokter gigi tri putra. Dalam keadaan rileks bibir terbuka gigi tampak maju. Bukan hanya karena faktor estetis, gigi tiruan juga perlu dipasang agar fungsi pengunyahan rongga mulut, bisa. Pemasangan gigi palsu penting dilakukan, untuk menggantikan gigi yang telah lepas. Servis perkhidmatan yang cepat dan juga sangat murah untuk rawatan gigi yang sihat bersih. Proses menukarkan gigi depan yang kelihatan x cantik kerana terlalu banyak tampalan lama.gigi anda yang mengalami masalah gigi patah khgususnya gigi depan, jangan. Gigi memiliki fungsi yang sangat penting untuk mengunyah makanan. Tambalan gigi depan keropos,tampak seperti gigi asli. Proses penambalan gigi depan patah | dokter gigi tri putra. Rm5 jer tampal gigi hospital kerajaan!

Related : Tampal Gigi Depan : Sedikitnya, 90 persen dari jumlah kasus gigi patah terdapat pada gigi depan bagian atas..